Как часто вы посещаете стоматолога, если вас не беспокоит зубная боль, кровоточивость десен, выпадение старых пломб – или любые другие дискомфортные ощущения в полости рта? Часто ли вы делаете профилактические осмотры и чистки для того, чтобы обнаружить и вылечить кариес на ранней стадии, пока он не требует сложного лечения и можно легко предотвратить осложнения? Принято считать, что частота развития болезней зубов зависит от возраста. Чаще пациентами стоматологов становятся дети 6-8 лет после прорезывания коренных зубов и взрослые от 30 лет после появления "зубов мудрости". Однако здоровье зубов зависит и от массы других факторов, например генетики, обмена веществ, общей клинической картины, стиля жизни и наличия вредных привычек. Независимо от здоровья зубов следует раз в полтора года приходить на консультацию и осмотр к стоматологу, и если врач рекомендует заниматься лечением кариеса на ранней стадии или сделать профессиональную чистку зубов – прислушаться к советам.

Если еще 10 лет назад о работе стоматологов-ортодонтов знало ограниченное количество людей, которые сталкивались с достаточно серьезными нарушениями анатомии зубочелюстного аппарата, то сегодня втрое большее количество пациентов каждый год обращается к ортодонтам для того, чтобы вернуть себе не только эстетическое удовольствие от красивой улыбки, но и функциональность прикуса. Проблемы с последним могут возникать в любом возрасте: потеря зубов, уменьшение прочности костей и тонуса мягких тканей приводит к смещению зубов. Ортодонт подбирает адекватные методы коррекции прикуса, помогает исправить деформацию или скорректировать размещение отдельных зубов.

В последние годы качество и эффективность стоматологического лечения существенно выросли. Ключевая роль в этом принадлежит 3D технологиям диагностики. Рентген каждого отдельного зуба теперь можно заменить одномоментным панорамным снимком КТ. Там, где раньше нужно было тратить время и ресурсы на изготовление слепка, теперь вопрос решает 3D-сканирование. Лечение зубов под микроскопом позволяет не только выявить на ранней стадии кариес, малейшие трещинки и свести к минимуму травматизм здоровых тканей, но и обеспечить лучший результат лечения под многократным увеличением. Мы в Aesculap инвестируем в 3D-технологии для того, чтобы ваши усилия по восстановлению здоровой и красивой улыбки приносили не только результат, но и удовольствие от процесса.

Эффективная стоматология в Aesculap всесторонне использует современные технологии. Там, где раньше единственным решением для сохранения анатомии и функций зубного ряда было изготовление физического слепка или оттиска, теперь на помощь приходят цифровые технологии. Они помогают сохранить время и средства пациента и повысить эффективность стоматологического лечения. Сделать качественный многомерный снимок при изготовлении единичного индивидуального абатмента, виниров, вкладок, накладок, коронок, мостов, имплантологических шаблонов помогает интраоральный стоматологический сканер MEDIT I700. Он качественно фиксирует топографические особенности зубов и мягких тканей. Наши стоматологи виртуозно используют сканер в компьютерном проектировании и реставрации зубов, даря пациентам здоровую и очаровательную улыбку с максимальным удовольствием от лечения.

Знали ли вы, что 70% удаленных зубов можно было бы спасти, если бы при лечении использовался стоматологический микроскоп? Обычно стоматолог ограничен возможностями визуальной и рентгенологической диагностики. Специальный микроскоп не только многократно увеличивает возможности осмотра зоны лечения – от 3 до 40 раз, но и качественно освещает ее, позволяя врачу рассмотреть мельчайшие детали. Микроскоп – незаменимый помощник в диагностике, раннем выявлении кариеса и лечении зубных каналов нестандартной анатомии. Использование микроскопа при лечении зубов имеет массу дополнительных преимуществ – например, меньшее травмирование здоровых тканей, больший комфорт для пациента, использование бора меньшего диаметра и т. д.

Современная стоматология гораздо более эффективна, чем 5, 10, 15 лет назад благодаря инновационным чувствительным методам диагностики и терапии. Для того чтобы изучить анатомию зуба и челюсти, разработать детальный план лечения, стоматологи в Aesculap используют рентген, цифровой сканер, а также панорамную КТ-диагностику на одном из лучших томографов в мире GENORAY PAPAYA 3D PLUS. Компьютерная диагностика зубов позволяет снять все необходимые для лечения параметры за один сеанс и предложить пациенту максимально эффективный план санации полости рта. Снимок позволяет определить очаги патологий, состояние корней и зубных каналов, верхнечелюстных и дополнительных пазух носа, мягких тканей нижней и верхней челюстей, оценить жизнеспособность каждого зуба, в частности, молочные зубы и позиции зачатков у детей.

Часто бывает так, что здоровые внутри зубы снаружи выглядят не слишком эстетично – то ли из-за индивидуальных особенностей, то ли из-за особенностей лечения. Стоматология не стоит на месте, поэтому результаты успешного лечения, будучи последним словом науки несколько лет назад, сегодня выглядят не идеально по сравнению с тем, какой результат могут гарантировать наши специалисты сейчас. Скрыть косметические недостатки или откорректировать прикус позволяют виниры – индивидуально изготовленные специальные накладки, воспроизводящие цвет и параметры зуба. Виниры замещают внешний слой зуба. Кроме эстетического эффекта они укрепляют эмаль и повышают функциональность. Это идеальная технология эстетической стоматологии, которая дает лучший результат в кратчайшие сроки.

Раньше лечение депульпированных зубов с существенными потемнениями эмали не имело альтернативы, кроме установления коронки. Технология внутриканального отбеливания зубов или эндоотбеливание – это настоящая революция в области эстетической стоматологии. Во время процедуры удаляется пломбировочный материал, в полость зуба закладывается специальный гель, компоненты которого во время распада выделяют активный кислород. Последний как раз и способствует восстановлению цвета зубной эмали. Для достижения идеального цвета достаточно 2 – 3 сеансов. Теперь можно не бояться процедур наружного отбеливания зубов, ведь эндоотбеливание не приводит к истончению зубной эмали и ее травматизации. Зато дает возможность восстановить естественный цвет депульпированного зуба или зуба, который изменил цвет под влиянием лечения препаратами со специфическими компонентами – серебром, резорцином и т. д.

На глаз невозможно точно определить, нуждаются ли зубы в профессиональной чистке. Даже на совершенно белоснежной улыбке могут присутствовать отложения зубного камня и налет. Зубной камень особенно часто образуется на нижних резцах или в местах стыка верхних зубов со щеками – именно там находятся протоки слюнных желез. Слюна содержит кальций в высокой концентрации, который является основой для формирования зубного камня. Потенциально, это увеличивает опасность возникновения кариеса, поэтому периодически следует проводить профессиональную чистку или отбеливание зубов. Беспокоиться не стоит – современные методики не повреждают зубную эмаль. Если сомневаетесь – попробуйте скейлинг или снятие зубных отложений ультразвуком. Стоматолог использует специальный инструмент, который создает вибрацию, не ощутимую для вас, но способную отделить зубной камень от места его стыка с эмалью и не создает лишнего раздражения для здоровых тканей зуба. После этого производит полировку эмали и ее укрепление через нанесение специальной пасты.

На красоту и здоровье наших зубов влияет масса факторов. Частично это закладываются еще до рождения человека, отчасти, зависит от особенностей метаболизма, образа жизни, наличия других стоматологических проблем. Ключевое для здоровья зубов – это минеральный состав эмали. Если в результате длительного ношения брекет-систем или особенностей питания, наличия вредных привычек или нарушений в работе внутренних органов происходит деминерализация эмали – повышается риск развития кариеса, возникают эстетические и функциональные дефекты. Укрепить зубы и продлить срок службы пломб помогает фторирование зубов. На зубы наносят специальный препарат с высоким содержанием фтора, сушат специальными лампами и закрепляют специальным лаком. Фторирование можно проводить и взрослым, и детям по показаниям врача от 1 до 4 раз в год.

Стоматологи нашей клиники владеют самыми современными методиками лечения, позволяющими сохранять родной зуб пациента даже в наиболее сложных случаях. Однако часто удалить больной зуб – лучшее решение, ведь зуб может быть слишком сильно разрушен или расшатан, иметь перелом корня или глубокий кариес, сложное расположение, околокорневые кисты, которые невозможно удалить. Каждый год стоматологическая наука генерирует новые технологии и решения, позволяющие восстановить естественную функциональность зубного ряда с помощью качественного протезирования и имплантации. Ключевое в работе хирурга-стоматолога – удалить зуб безболезненно и с минимальным риском развития осложнений. Наши специалисты обеспечивают полное сопровождение подготовки и реабилитации после удаления, делают все необходимое, чтобы исключить риск послеоперационных осложнений, обеспечивают безопасное и эффективное обезболивание.

При запущенных патологиях зубов обойтись одним визитом к стоматологу не получится. Глубокий кариес, сильная ноющая боль, острый и хронический пульпит, периодонтит – это сигналы того, что почти со 100% вероятностью потребуется уделить достаточно времени лечению и пломбированию зубных каналов. Анатомически – это каналы, по которым в ткани зуба проходят нервные волокна и сосуды. При возникновении здесь воспалительных процессов появляется нагноение, пульпа и нервные волокна отмирают. Для того чтобы лечение зуба было действительно эффективным – до установки пломбы или коронки нужно провести санацию каналов: удалить оттуда старый пломбировочный материал при необходимости, удалить кариозные и инфицированные ткани, устранить причины и симптомы воспалительного процесса. Для этого может потребоваться несколько визитов к стоматологу, поскольку лечение зубных каналов проводится в несколько этапов и требует определенного времени. В некоторых случаях лечение каналов обязательно – например, перед установкой протезов или коронок. В то же время, в некоторых случаях лечение каналов нецелесообразно – например, при переломе корня.

Красивая и белоснежная улыбка – неотъемлемый атрибут уверенности в себе и здоровья. Наличие дефектов зубов сегодня не проблема – эстетическая стоматология обладает огромным арсеналом средств, инструментов и методик, которые позволяют восстановить и улучшить внешний вид зубов. При эстетической реставрации врач восстанавливает функции и форму зуба с помощью фотополимерных средств. Это удивительное сочетание лечебной – восстановить целостность и функционал тканей и художественной работы – добиться идеальной формы, цвета и гладкости текстуры. Во время реставрации устраняются сколы, промежутки между зубами, поверхность полируется, шлифуется, отбеливается, удаляются и заменяются старые пломбы, восстанавливается функционал зуба.

Красивая и здоровая улыбка неизбежно ассоциируется со стрессом от регулярных и продолжительных визитов к стоматологу. Часто – даже с болевыми ощущениями, ведь далеко не всегда мы обращаемся к профессионалу вовремя, поэтому иногда приходится иметь дело с пульпитом, глубоким кариесом, когда лечение невозможно без анестезии. Некоторые пациенты имеют стоматофобию – страх лечения зубов. Случается так, что пациенту, в силу наличия неврологических или психиатрических расстройств, трудно усидеть спокойно на месте длительное время. А когда речь заходит о детях – то говорить о том, что малыш будет терпеливо переносить все манипуляции, даже безболезненные, не приходится. Для таких случаев существует лечение зубов во сне. Это не наркоз, а медикаментозный сон, в который пациента вводят с помощью специально подобранных седативных легких препаратов. Человек засыпает, и стоматолог может без проблем полечить зубы за то время, которое для этого необходимо. Лечить зубы во сне проще, ведь не все люди одинаково переносят анестезию, некоторые имеют аллергические реакции, повышенный рвотный рефлекс или психологические страхи. Во время сна, когда мышцы максимально расслаблены, врачу проще сделать полный осмотр и санацию, имея лучший доступ к зоне лечения.

Несвоевременное лечение кариеса приводит к возникновению пульпита – воспаления пульпы, мягкого содержимого внутренней камеры зуба, насыщенной кровеносными сосудами и нервными волокнами. Традиционно лечение пульпита сопровождается удалением пульпы, однако мы всегда стараемся найти способ сохранить ее. Ведь именно через пульпу в твердые ткани зуба попадают питательные вещества и микроэлементы, а депульпированный зуб со временем может темнеть, становиться хрупким, на его поверхности появляются трещины и пятна. Традиционный и надежный способ лечения пульпита включает очищение коронковой части зуба от отмерших участков тканей, удаление пульпы, очистку и обеззараживание полости, установку лечебных прокладок, лечение каналов и кариозной полости, установку штифтов и коронки – в случае, если верхняя часть зуба сильно разрушена.

Уздечка языка – это тонкая эластичная языковая складка, соединяющая язык с нижней челюстью. Мы крайне редко задумываемся о важности ее функционала и вообще редко замечаем, что она есть. В то же время эта небольшая перепонка обеспечивает правильный прикус, качественное пережевывание пищи, четкую артикуляцию звуков и дикцию, анатомически правильное развитие челюстей, гармоничный дыхательный процесс. Обычно неправильное развитие уздечки фиксируют в детском возрасте и тогда исправляют проблему хирургическим путем. Однако часто при отсутствии нужного лечения в детстве возникает необходимость исправить анатомию уздечки в зрелом возрасте. Это простая хирургическая или лазерная манипуляция, проводимая под местным обезболиванием, она занимает максимум полчаса и не требует длительного восстановления.

Даже уделяя внимание здоровью зубов, мы порой забываем, что красивая улыбка – это не только белые и крепкие зубы, но и отличное состояние десен. Неправильная гигиена, образование зубного камня, некорректное использование аксессуаров, некачественное лечение, травмы или контакт с агрессивными веществами могут вызвать рецессию десен – состояние, когда их поверхность сокращается настолько, что происходит обнажение шеек и корней зубов. Это не только неприятно, ведь провоцирует повышенную чувствительность, но и опасно, ведь подвергает зубы большему риску заболеваний, расшатыванию и даже выпадению. Чтобы остановить рецессию, производят специальное хирургическое вмешательство. Благодаря специальным разрезам десна при заживлении возвращаются на поверхность шейки зуба и чувствительность исчезает. Процедура абсолютно безопасна, проводится под местным обезболиванием, и в комплексе с правильным уходом за зубами и деснами дает положительный длительный эффект.

Кариес – самое распространенное заболевание зубов, с которым хотя бы раз в жизни сталкивается каждый человек. Сегодняшние стоматологические технологии позволяют не только восстанавливать твердые ткани зуба во время лечения кариеса, но и его функционал и эстетику. Фотополимеры – материалы нового поколения, которые сегодня считаются золотым стандартом восстановления структуры зубов. Ключевое в процессе лечения с использованием фотополимеров – это технология и процесс высушивания геля ультрафиолетовой лампой: под действием УФ-лучей материал очень быстро переходит в твердую форму и может служить до 20 лет, при соблюдении правил гигиены полости рта и своевременных чек-апов у стоматолога. Перед установкой фотополимерной пломбы проходит полное обследование и лечение зуба, ведь нужно исключить наличие острого воспаления и устранить его очаг.

Камни в протоках слюнных желез – достаточно редкое, но опасное явление. Ведь накопление камней может приводить к прогрессирующим воспалительным процессам, которые, в свою очередь, вызывают дисфункцию слюнной железы. Причин возникновения камней в протоках желез много – от несоблюдения гигиены полости рта, курения, анатомического сужения протоков, до нарушения минерального обмена, заболеваний желудочно-кишечного тракта и эндокринной системы. Боль в околоушных и подчелюстных участках, повышенная температура тела, ощущение соленого привкуса или сухости во рту, наличие уплотнений и отеков на слизистой полости рта – все это может указывать на наличие камней в протоках желез. Удалить их можно несколькими способами. К примеру, с помощью ультразвукового эндоскопа, который сначала дробит камни, а затем вымывает их из протока. Самый распространенный метод удаления, применяемый при наличие больших инородных тел – хирургический. Если камни привели к развитию сопутствующих патологий – прибегают к полному удалению слюнной железы.

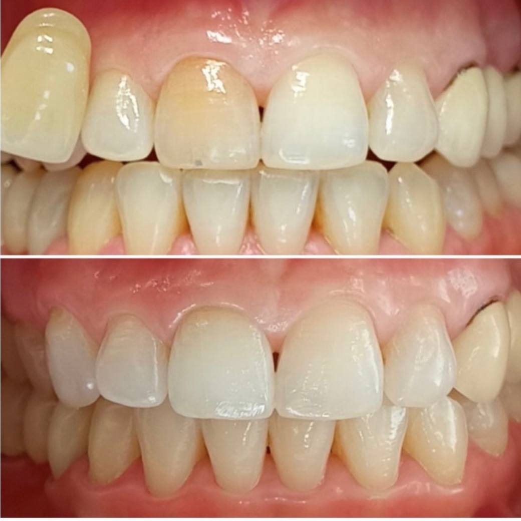
Отбеливание зубов – доступная и популярная процедура, без которой современный человек уже не представляет здоровую и красивую улыбку. Сегодня существует много способов вернуть зубам естественный красивый цвет, белизну и блеск, каждый из них имеет свои преимущества. Одна из самых легких и безопасных методик – это покрытие зубов специальным сертифицированным гелем американской системы Magic Smile. Гель с высоким содержанием пероксида карбамида удаляет зубной пигмент и выравнивает цвет эмали под воздействием лучей специальной LED-лампы. Эффект отбеливания сохраняется в течение года. Важным этапом процедуры является восстановление, во время которого, рекомендованный период – неделю, следует соблюдать так называемую "белую диету": не курить, не употреблять продукты и напитки с пигментом, которые могут вызвать потемнение эмали: чай, кофе, шоколад, вино, свеклу и т.д. Magic Smile не изменяет химический состав эмали и не влияет на ее прочность.

Установка зубных имплантов позволяет полностью восстановить утраченные участки зубного ряда и функционал утраченных зубов. Процедура достаточно схожа с тем, как происходит восстановление глубоко разрушенного зуба путем установки металлического штифта и металлокерамической коронки. Однако разница в том, что импланты могут устанавливаться на месте отсутствующих или удаленных зубов. Процедура достаточно длительная, проходит в несколько этапов: операция по вживлению импланта, установка формирователя десны; после заживления – установка абатмента, на который впоследствии закрепляется коронка. Качественные зубные импланты производства Южной Кореи (MegaGen) и Швейцарии (Straumann) – это лучшее решение с точки зрения соотношения "цена – качество", они отлично приживаются и полностью восстанавливают функционал зубного ряда даже в самых сложных случаях.

Новообразования разной природы часто возникают не только на коже, но и на слизистых. Не заметить или проигнорировать такие патологии во рту особенно сложно, ведь из-за постоянного контакта с губами, языком они не только раздражают и вызывают дискомфорт, но и могут дополнительно травмироваться. Так что заметив у себя подобное новообразование, не стоит затягивать с визитом к стоматологу. Не редкость появление во рту папиллом, фибром, камней в протоках слюнных желез, кист – одонтогенных и ретенциальных. Причиной появления новообразований на слизистых рта часто становится папиломавирус человека, плохая гигиена, вредные привычки, нарушения минерального и ферментативного баланса, инфекции и воспаления. Большинство новообразований можно удалить с помощью малоинвазивного хирургического иссечения или лазерной коагуляции. Однако не менее важно – позаботиться о том, чтобы устранить причины их появления и нивелировать риск рецидива, с чем помочь может только качественная диагностика и наблюдение у профессионала.








































Наш менеджер принял в обработку Вашу заявку. С Вами скоро свяжутся.